A while back I wrote about getting Swimmer’s Ear. This problem has been plaguing me since I moved to the Bahamas. I thought it could have been due to the humidity, the water on the West side of the Atlantic, or that the fact the pool at my house isn’t the cleanest.
So I took precautions and hoped that I wouldn’t have issues on my IDC/IE. Unfortunately by the Wednesday of the IDC (two days before the IE would begin) my ear because quite seriously infected. So I trudged grudgingly to the doctor. After a quick examination he stated that I was suffering from exostosis. I couldn’t believe that I had that condition. A friend at high school had exostosis in his limbs and had to have many invasive operations to help cure him of it. So what is it? According to Wikipedia:
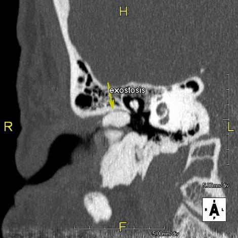
An exostosis (plural: exostoses) is the formation of new bonw on the surface of a bone. Exostoses can cause chronic pain ranging from mild to debilitatingly severe, depending on the shape, size, and location of the lesion.
Now how does this affect me? Well, I am apparently suffering from a condition known as Surfer’s Ear.
Surfer’s ear is the common name for an exostosis or abnormal bone growth within the ear canal. Surfer’s ear is not the same as swimmer’s ear, although infection can result as a side effect.
Irritation from cold wind and water exposure causes the bone surrounding the ear canal to develop lumps of new bony growth which constrict the ear canal. Where the ear canal is actually blocked by this condition, water and wax can become trapped and give rise to infection. The condition is so named due to its prevalence among cold water surfers. Warm water surfers are also at risk for exostosis due to the evaporative cooling caused by wind and the presence of water in the ear canal.
Most avid surfers have at least some mild bone growths (exostoses), causing little to no problems. The condition is progressive, making it important to take preventative measures early, preferably whenever surfing. The condition is not limited to surfing and can occur in any activity with cold, wet, windy conditions such as kayaking, sailing, jet skiing, kitesurfing, and diving.
So prevention seems better than cure, according to Wikipedia, so I think I will invest in some diving ear plugs. Currently I am on antibiotic ear drops and pills to help clear up the infection.
NOTE: Diving with an ear infection is inadvisable and I do not recommend that you do it. There is a risk of barotrauma, which could result in the loss of hearing. I took a calculated risk when choosing to continue with my IDC/IE. I spoke at length with my doctor about the possible outcomes if I chose to dive. So please, if you have an ear infection let it heal and then go diving. Also consult with your health practitioner if you have any other concerns about your ears and diving.
